네트워크 홈
WJbarune
인사말
의료진소개
진료안내
치아교정 보증제
통합 진단 시스템
덧니 교정
우리아이 성장교정
돌출입교정
성형(턱수술)교정
심미(비밀)교정
부분교정
셀프 브라켓교정
독일 인코그니토
미국 인비절라인
교정치료의 적응증
교정치료의 시기
교정치료의 과정
자주묻는 질문
온라인 상담
Before & After
진료후기
공지사항
HOME
바른이커뮤니티
공지사항
온라인 상담
Before & After
진료후기
공지사항
총
31
개
치료명
내용
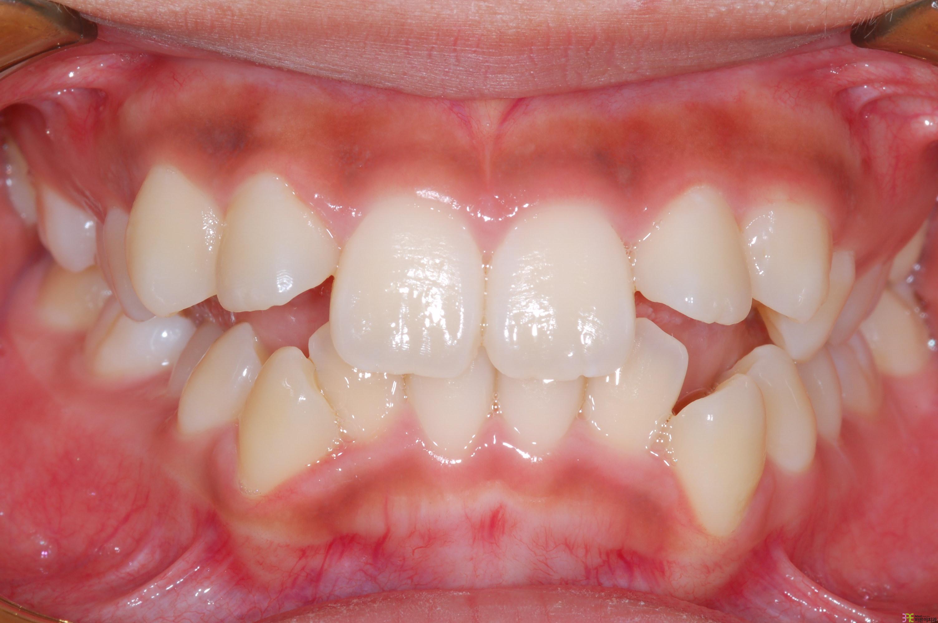
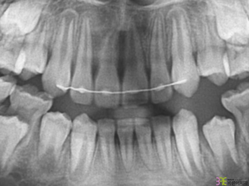
Before
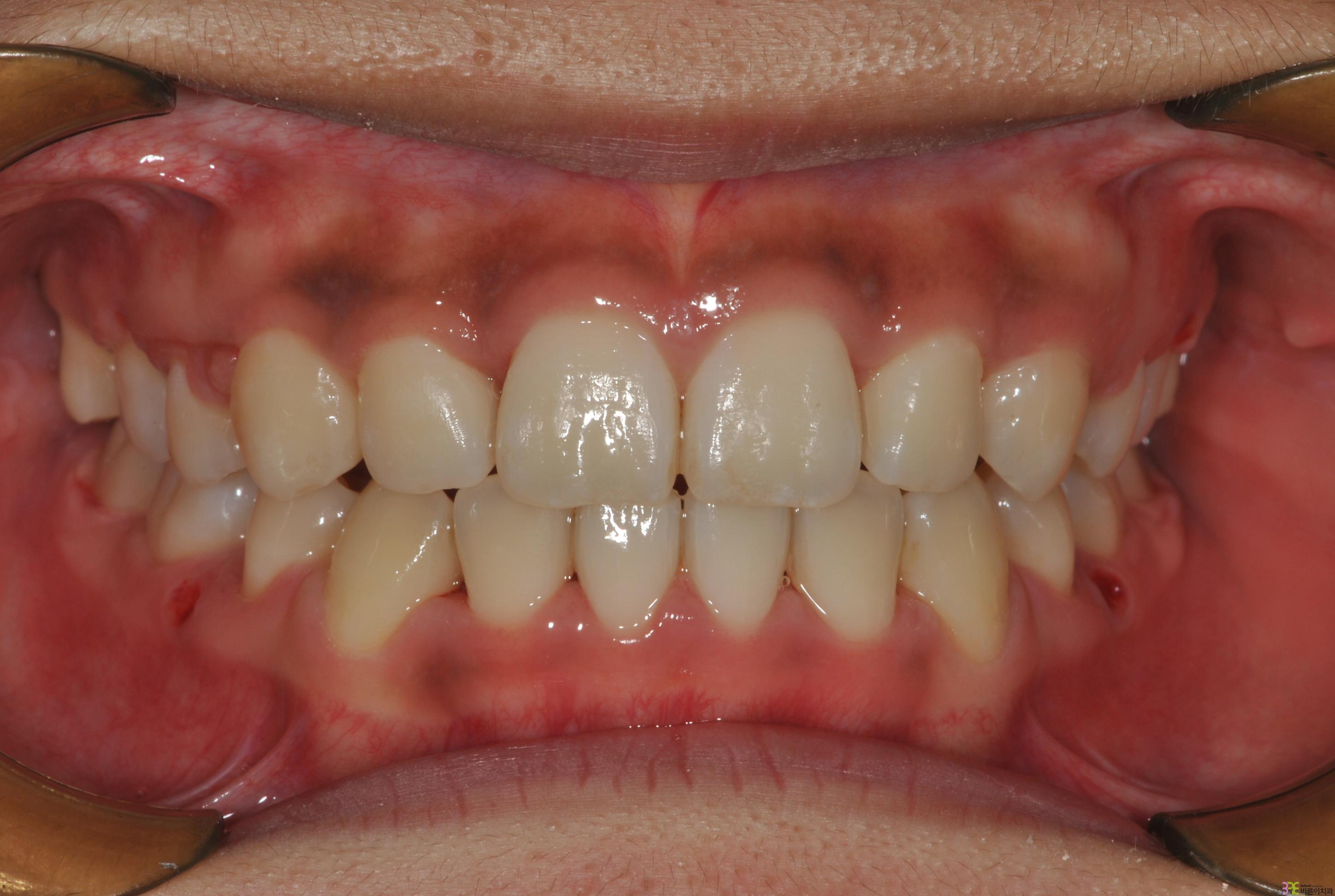
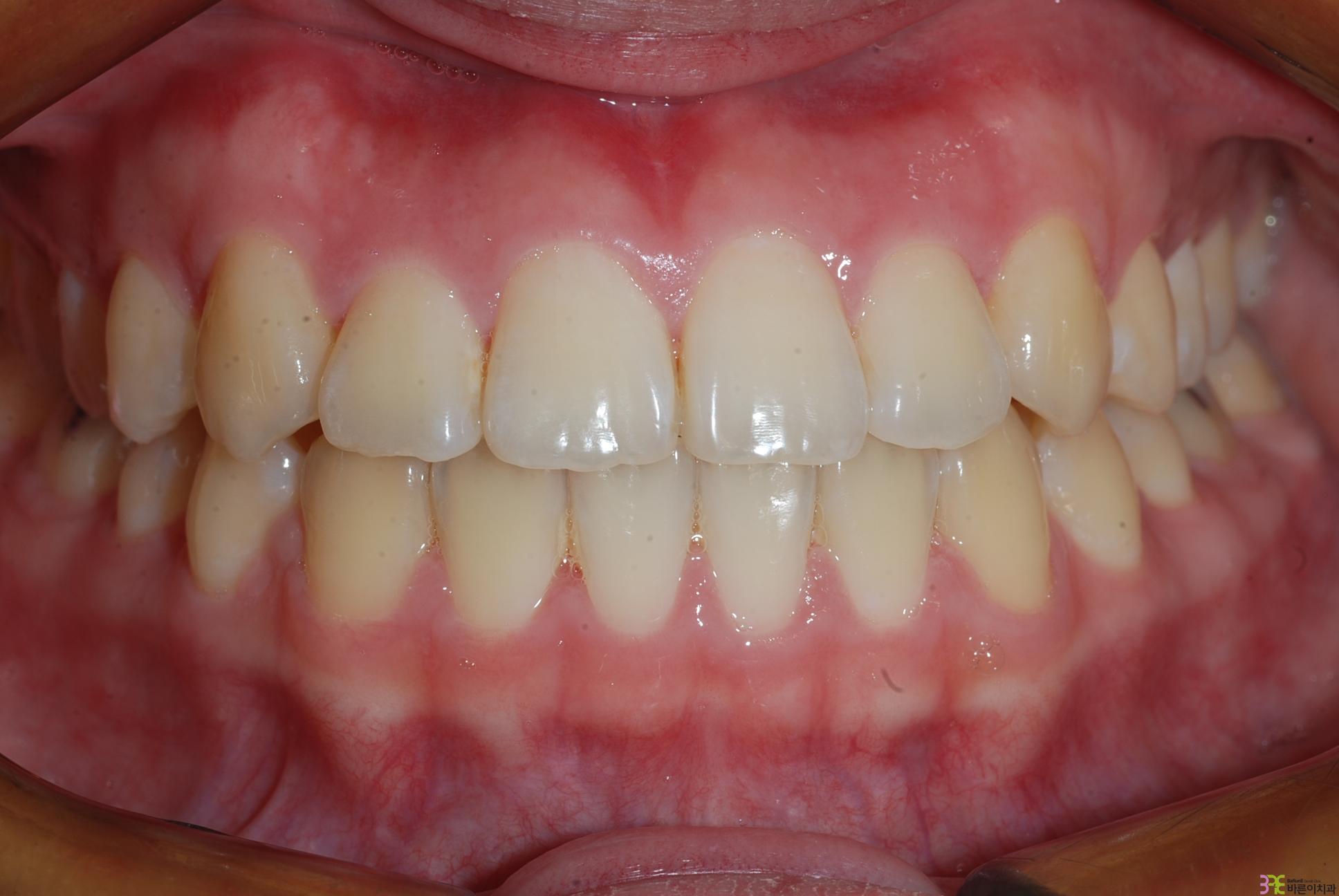
After
치료명
덧니 교정
치료기간
1년
Before
After
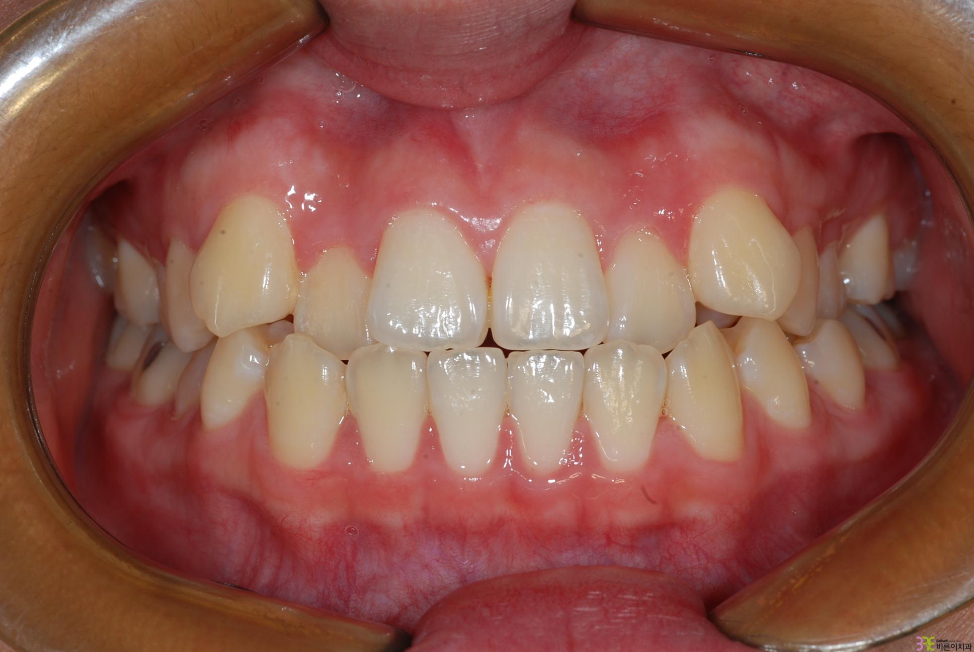
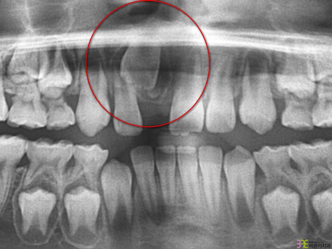
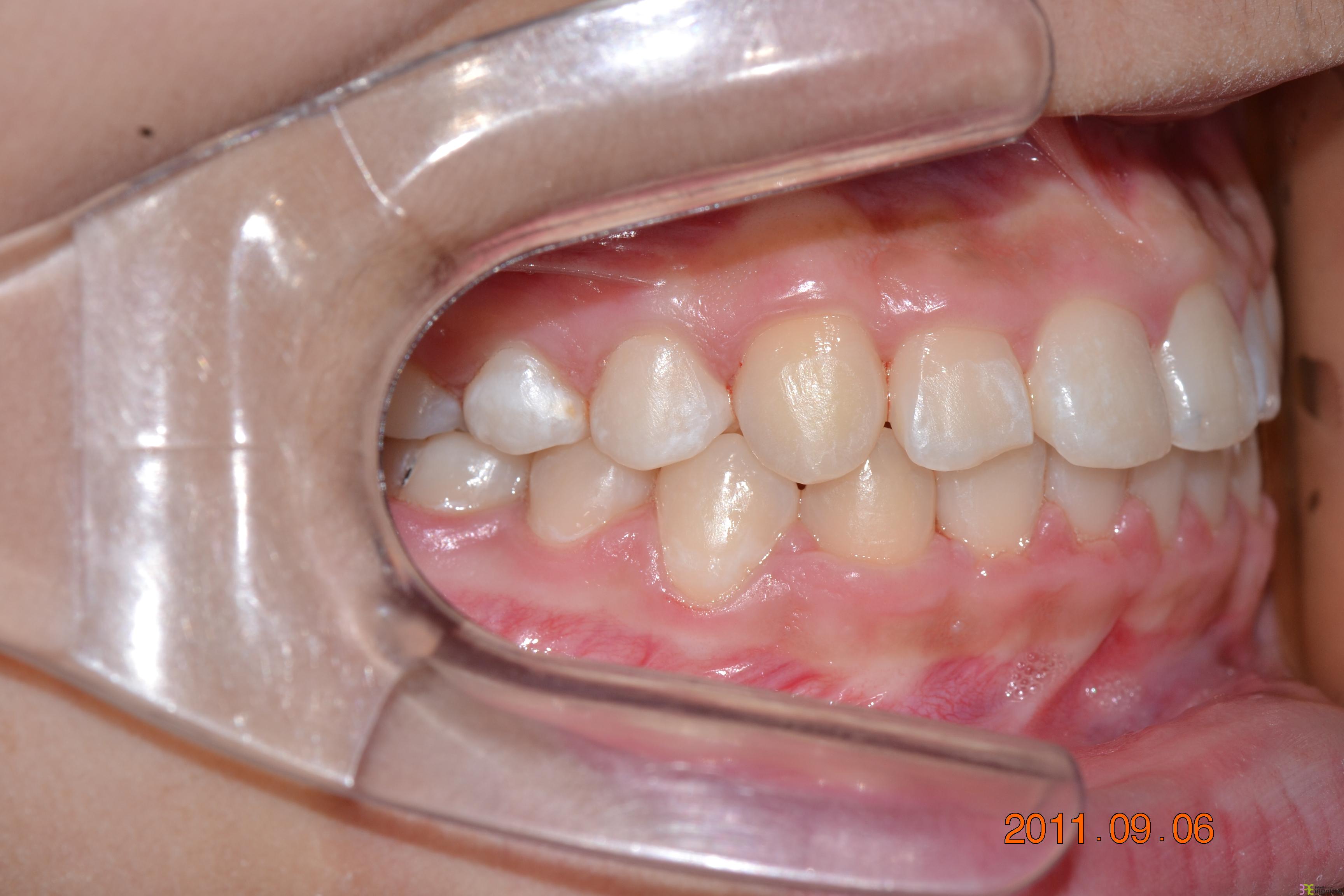
치료명
매복치 교정
치료기간
8개월
Before
After
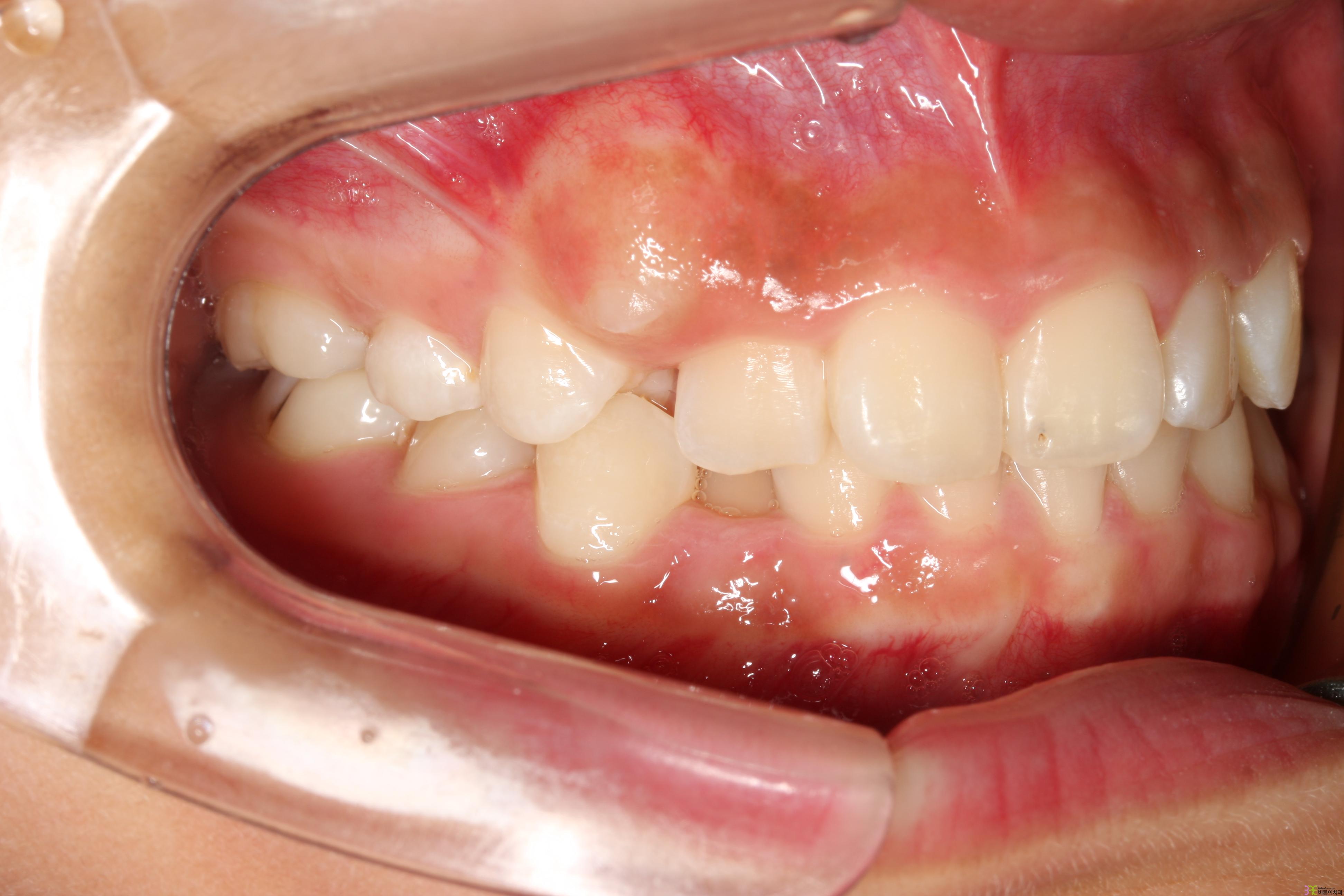
치료명
덧니교정
치료기간
1년
Before
After
치료명
덧니교정
치료기간
1년 9개월
1
2
3
4
5
6
7
8